Del Mar Pharmaceuticals Plans Clinical Trials for GBM Treatment

Del Mar Pharmaceuticals (DMP) was founded in 2010 and is cultivating treatments focusing on patients suffering from orphan cancers where modern targeted or biologic treatments are failing. Their lead drug development, VAL-083, is the company’s first produced candidate. It has stemmed from a $50 million investment by the US National Cancer Institute (NCI).

DMP plans to begin Phase II human clinical trials with VAL-083 after submitting an IND with the US FDA. The drug will be tested on patients suffering from glioblastoma multiforme (GBM). It is well-characterized, and has been studied in more than 40 Phase I & II NCI-sponsored human clinical trials in the United States and Europe. VAL-083 is already approved as a cancer chemotherapeutic in China for the treatment of chronic myelogenous leukemia, lung cancer, and other solid tumors.

“We are pleased to be advancing this important potential therapy to the next step toward offering a new treatment option to patients suffering from GBM, the most common and aggressive form of brain cancer,” stated Jeffrey Bacha, Del Mar Pharma’s President & CEO.

About the Clinical Study

The Phase I/II study is a single arm dose-escalation study designed to evaluate the safety, tolerability, pharmacokinetics and anti-tumor activity of VAL-083 in patients with the initial diagnosis of GBM, now recurrent. Patients with prior low-grade glioma or anaplastic glioma are eligible if tissue assessment shows results of it becoming GBM.

Patients must have been previously treated for GBM with surgery and/or radiation, and must have failed both preliminary treatments, bevacizumab (Avastin) and temozolomide (Temodar).

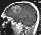
Response to therapy and disease progression will be evaluated with an MRI before each treatment cycle. Additionally, a beginning phase of the study will involve dosage increases until a maximum tolerated dose is established. Once the modernized dosing regimen has been established, additional patients will be subject to an optimal dosage regimen.

More About Glioblastoma Multiforme

Glioblastoma multiforme is the most common and most malignant form of brain cancer. 17,000 brain tumors are diagnosed in the United States each year and approximately 60% are gliomas. Attention was drawn to this form of brain cancer when Senator Ted Kennedy was diagnosed with glioblastoma and ultimately died from it.

Approximately 48% of patients who are diagnosed with GBM will fail both front-line therapy and Avastin. DMP estimates that the market for treating GBM patients the post-Avastin failure exceeds US$200 million annually in North America.

Del Mar Pharmaceuticals will be presenting its products and technologies at OneMedForum SF 2012, on January 9 – 12.